Dental Clinic

Take care of your teeth

Modern dental care designed for your best smile.

Make AppointmentMake Appointment
Explore Our Specialities
Dental Specialities

Find trusted experts and comprehensive care across multiple dental specialities. We provide advanced treatments for all your oral health needs.

About us
Dr. Aditi Chhajed
BDS | Implantologist | Restorative & Aesthetic Dentist

Dr. Aditi Chhajed is a highly experienced dental professional with 15+ years of clinical expertise, known for her ethical approach, precision, and commitment to patient care.

She completed her Bachelor of Dental Surgery (BDS) from the prestigious Nair Hospital Dental College, Mumbai, followed by her internship at the same institution in 2010. Since then, she has been consistently practicing and advancing her skills in modern dentistry.

Dr. Aditi is a certified implantologist with extensive experience in dental implants, indirect sinus lifts and grafting procedures.

Read moreRead more
Years Experience
0+
Years Experience
Happy Patients
0K+
Happy Patients
Successful Cases
0K+
Successful Cases
Expert Staff
0+
Expert Staff
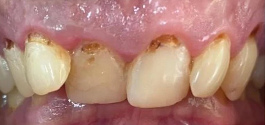
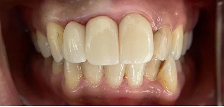
Radiant smiles
From dull to dazzling

Our professional dental care keeps your smile bright, healthy, and confident all year long. Swipe to see the before and after results!

After
Before
After
Before
After
Before
Our Testimonials
Patient Testimonials & Reviews
Google Google
5 ★★★★★
Follow Us
Educational Videos

Care for Your Smile. Care for Yourself.

Our expert dental team provides personalized treatments to keep your teeth strong and your smile radiant.

WhatsApp Now Call Now