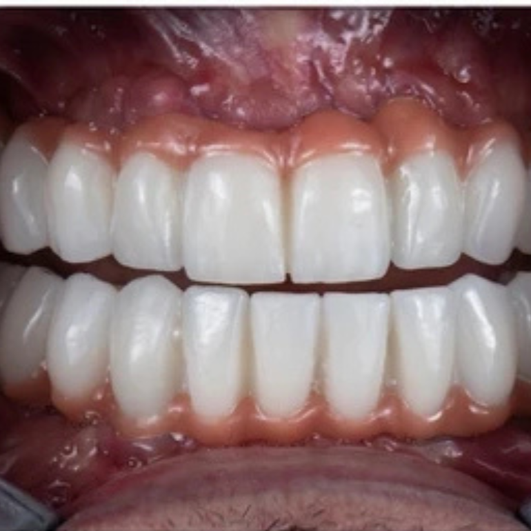
Full Mouth Rehabilitation
Comprehensive restoration for patients with multiple dental issues—function + aesthetics combined.
Welcome to Dental Tourism in Mumbai with Dr. Aditi Chhajed, where advanced dentistry meets comfort, affordability, and personalized care.
With 15+ years of clinical expertise, Dr. Aditi Chhajed offers international patients safe, precise, and aesthetic dental treatments—all at a fraction of the cost compared to countries like the USA, UK, and Australia.
Mumbai is not just India’s financial capital—it is also a leading destination for medical and dental tourism.





From iconic attractions like Marine Drive and Gateway of India to vibrant culture and cuisine—Mumbai offers a complete experience beyond treatment.
Dr. Aditi Chhajed is a highly experienced dental professional with 15+ years of expertise, known for her:
She completed her BDS from Nair Hospital Dental College, Mumbai, followed by extensive clinical practice and advanced training in:
We provide a complete range of advanced and cosmetic dental treatments, including:
15+ years of expertise in handling both routine and complex dental cases.
Save significantly compared to international costs without compromising quality.
Modern equipment ensuring accuracy, safety, and faster recovery.
International hygiene standards for complete patient safety.
Customized care based on your dental condition and travel schedule.
Efficient treatment timelines for international patients with limited stay.
Share your dental concerns, reports, or X-rays via email or WhatsApp.
Receive a detailed plan with timeline and transparent pricing.
Plan your visit to Mumbai. We help align appointments with your travel dates.
Undergo safe, comfortable, and efficient dental procedures.
Post-treatment guidance and remote follow-up assistance.
Make the most of your visit:
Relax at Marine Drive
Visit Juhu Beach & Colaba Causeway
Experience Mumbai’s nightlife and fine dining
Explore cultural landmarks and heritage sites
Your dental journey becomes a complete wellness and travel experience.